Pakistani scientists roll out software that can detect COVID-19 in less than a minute
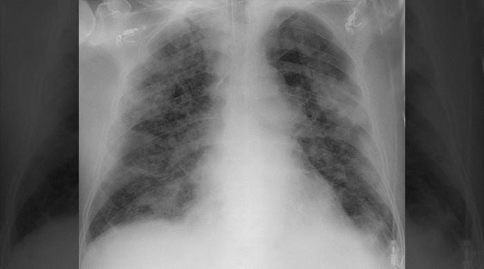
‘COV-RAID’ has an accuracy of more than 90%, uses chest x-rays to detect whether a patient is suffering from coronavirus
‘COV-RAID’ has an accuracy of more than 90%, uses chest x-rays to detect whether a patient is suffering from coronavirus
Post a Comment